西宮市の歯科医院(歯医者)ケイ歯科クリニック/インプラント・矯正歯科・審美歯科などは甲東園駅からも近い西宮市の歯科医院(歯医者)ケイ歯科クリニックへ

ネット診療ご予約

西宮市 歯科 歯医者ケイ歯科クリニック

0798-31-0418
ー 症例について ー
インプラント、セラミックによる審美歯科治療
  • 性別
    女性
  • 通院時年齢
    55歳
  • 通院目的
    前歯の歯茎が気になる
    歯が揺れている
    咬めない
    どんどん歯が無くなっていく
  • 診断
    インプラントを利用して入れ歯を無くす
    咬み合わせの高さ・平面を改善し、力のコントロールを行う
    歯周病のオペを行う
    セラミックを用いた審美治療を行う
  • 処置内容
    インプラント7本
    セラミック歯
    保険の被せ物
  • 通院期間 通院回数
    11か月 21回
  • 費用
    3,250,000円
  • リスク・副作用
    インプラントの外科手術後の術後感染、歯を削合した際に仮歯を装着するが、脱離・破折の可能性があるので注意

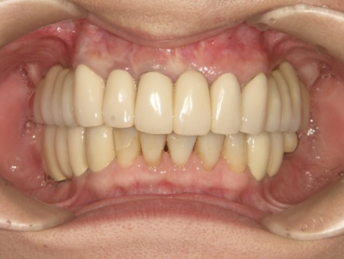
症例写真
  • 症例

    施術前

  • 症例

    施術後

  • 症例

    施術前のレントゲン

  • 症例

    施術後のレントゲン

施術前の症状
  • 症例
施術処置内容
  • 症例

西宮市 歯科 歯医者 ケイ歯科クリニック|インプラント、矯正歯科など対応の甲東園駅からも近い歯医者

診療科目一覧

西宮市 歯科 歯医者 ケイ歯科クリニック|インプラント、矯正歯科など対応の甲東園駅からも近い歯医者

診療案内

ママとこどものはいしゃさん
インビザライン 症例集

アクセス&診療時間
西宮市にある甲東園駅近くの歯科医院(歯医者)ケイ歯科クリニック

インフォメ-ション
スタッフ募集中

Site Map